فحص الموجات فوق الصوتية للكليتين من أهم الفحوصات وأكثرها شيوعا. تتميز الكليتين بوجود العديد من التغيرات الطبيعية التي قد يشتبه أخصائي أو طبيب الأشعة بأنها تغيرات مرضية من أورام أو غيرها. في هذه التدوينة أشرح أهم خمسة منها بشكل مبسط.
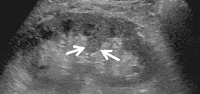
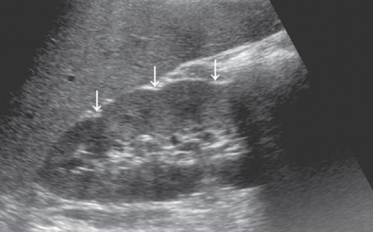
1-Hypertrophied column of Bertin
أعتقد بأن هذا من أهم المتغيرات التي قد يشتبه في كونها ورم. هي ببساطة تضخم لنسيج الكلية parenchyma إلى الداخل sinuses مرورا بين الأهرامات الكلوية medullary pyramids.
يميزه تناسق echogenicity بينه وبين باقي parenchyma بالإضافة لعدم وجود ارتفاع أو تغير ملحوظ في قراءات colour Doppler. غالبا لا يزيد عرضه عن ٣ سم.
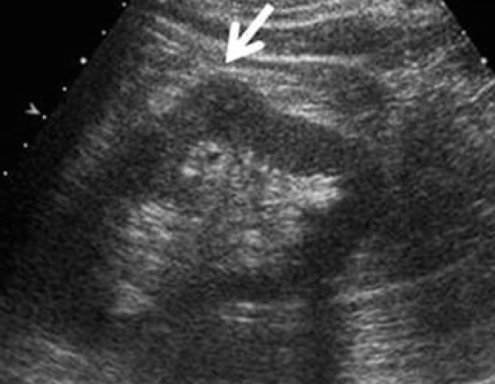
2-Kidney hump
تسمى أيضا Dromedary hump وهي مثل البروز في شكل parenchyma الكلية كسنام الجمل. سماكتها يجب أن تتناسق مع بقية parenchyma المحيطة بدون بروز. هي شائعة تحديدا في الكلية اليسرى وذلك لأن التغير يحدث في مرحلة تطور الجنين وضغط الطحال على الكلية.
في هذه الحالات يجب التأكد من السماكة (متناسقة) و echogenicity (غير مختلفة) و colour Doppler (طبيعية).
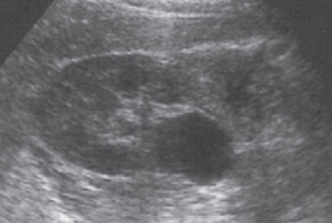
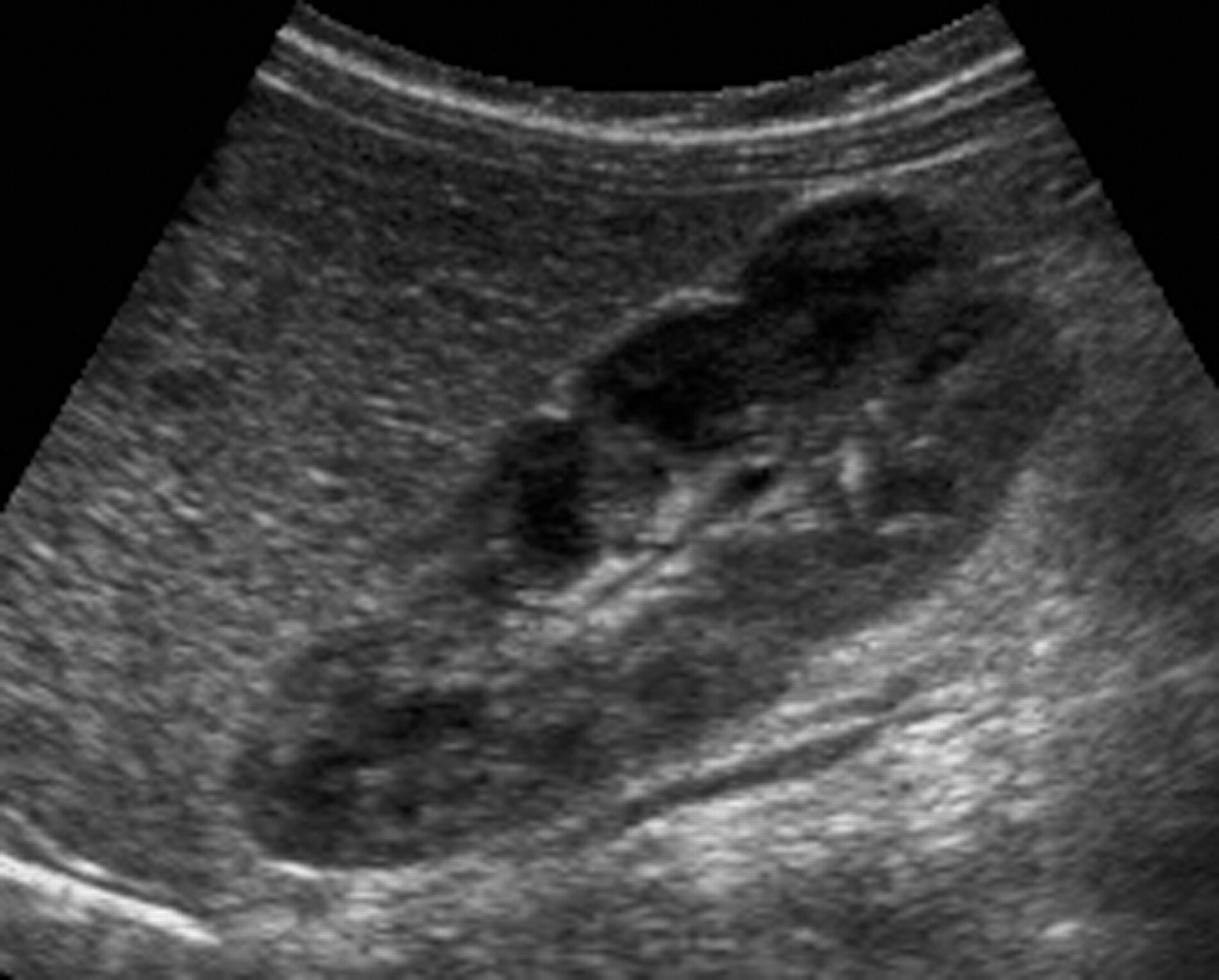
3-Duplex kidney
هذا مصطلح واسع يشمل عدة متغيرات منها وجود كليتين ملتصقات ببعض أو وجود two collecting systems في كلية واحدة. وهذه أيضا يوجد بها متغيرات أخرى من ناحية وجود حالب واحد أو حالبين ووجود شريان واحد أو اثنين.
يوجد هذا المتغير في قرابة ١٠٪ من الناس الطبيعيين. ويجب على الأخصائي التأكد من عدم توسع الحالبين وأيضا عدم وجود انسداد في أحد collecting systems وتحديدا العلوي.
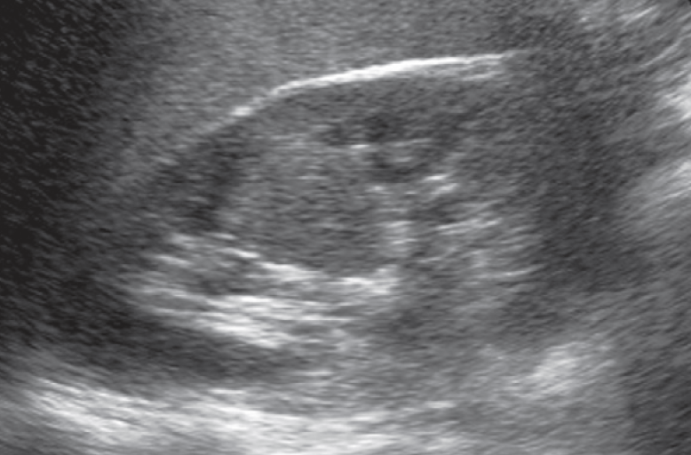
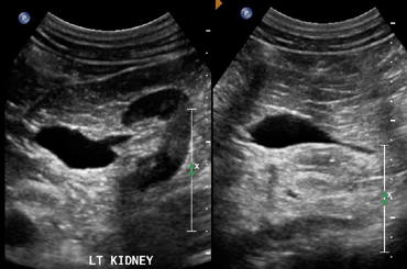
4-Extrarenal pelvis
هنا ببساطة يتواجد حوض الكلية خارج الكلية وكأنه كيس خارجي. الأهمية هنا تكمن في تمييزه بأنه تغير طبيعي وليس توسع في حوض الكلية أو كيس. التفرقة بينه وبين hydronephrosis تكون في عدم وحود توسع في calycis كما هو الحال في hydronephrosis.
في هذه الحالات يفضل التصوير بشكل transverse للتأكد.
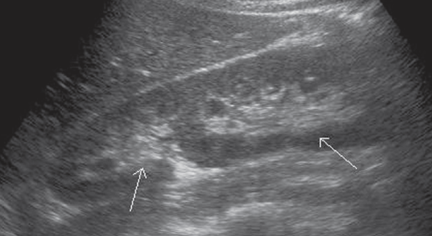
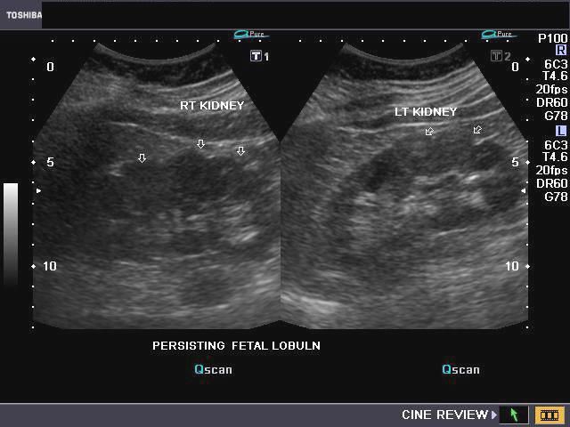
5-Fetal lobulations
في مرحلة تطور الجنين تتكون الكلية عن طريق تلاحم عدة فصوص lobes. وهذه الفصوص قد تستمر إلى مابعد مرحلة البلوغ. تظهر بشكل تموجات في القشرة الخارجية للكلية. من المهم أن لا نخطئ في تشخصيها كندبة scar أو ورم في الكلية.














